Miss Deng 長年受牙齒酸痛敏感所苦,因過去不好的看牙經驗對牙科產生恐懼,導致多處嚴重蛀牙、舊假牙不密合及殘根拖延未處理。
診斷發現,除了多處蛀牙外,還有全口輕微牙周炎及牙齦萎縮造成的牙根外露,這也是導致牙齒極度敏感的主要原因。

輕微牙周病治療歷程
一、建立信任與基礎治療 (2011)
醫師先進行牙周病控制(洗牙與衛教)及拔除殘根,患者選擇以傳統牙橋修復缺牙,並透過耐心治療齲齒,逐步消除對牙科的恐懼。
醫師提醒:牙科治療通常需要較長時間,也需要多次約診,如果半途而廢,自覺狀況稍有好轉或其它因素,就放任不管剩下的問題,原本幾次就能解決的小問題,反而可能變得越來越嚴重。
二、分階段美學重建 (2016~2020)
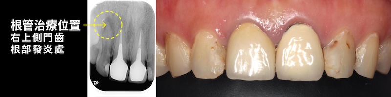
2016 年進行根管治療後,以全瓷冠修復蛀牙受損門牙。

2020 年追蹤時發現,下顎過去以複合樹脂修復的補牙多處變色與脫落,並出現二次蛀牙,原有舊假牙也已更換為臨時假牙。
運用 DSD 數位微笑設計與口內掃描,讓患者預先模擬術後笑容。下顎區透過「牙冠增長術」調整牙齦曲線,再以 10 顆全瓷冠與貼片精準修復。

長期維護:客製化多功能牙托搭配再礦化藥劑,解決長期酸痛敏感並預防蛀牙。
治療效果
不僅重建了咀嚼功能與齒列美觀,更讓 Miss Deng 從恐懼看牙到自信展笑,成果維持多年依舊穩定。

備註:官網所示案例僅用於衛教說明,療程效果因個人狀況有所差異,請諮詢專業醫師為您制定合適的療程。