六十多歲的 Ms.D 受全口嚴重牙周病所苦,導致牙齒日益突出,嚴重影響外貌與心情。此外,她的左上正中門齒因齒槽骨破壞超過牙根尖,屬於搖搖欲墜的「無救牙」。

她希望能改善外觀,但訴求是在非手術範圍內進行治療,且不希望接受長期的矯正療程。

嚴重牙周病案例,上顎門牙齒槽骨嚴重流失形成無救牙,X光顯示骨破壞已超過牙根尖

嚴重牙周病治療歷程

牙周穩定與固定

首先移除左上無救門牙,裝上臨時假牙,並以 Ribbond 齒間固定術穩定下顎前牙,防止牙齒繼續位移,搭配顯微水雷射控制牙周病。

嚴重牙周病治療先拔除左上無救牙並裝臨時假牙,下顎前牙以Ribbond齒間固定術穩定齒列

數位模擬溝通

在正式修牙前,利用口內掃描製作數位模擬(Mockup)供患者試戴,確保最終外型符合患者期待。

使用口內掃描取得牙齒數位模型建立 3D 資料

假牙與貼片重建

上顎採全鋯冠牙橋,其餘牙齒則利用全瓷貼片進行空間分配。

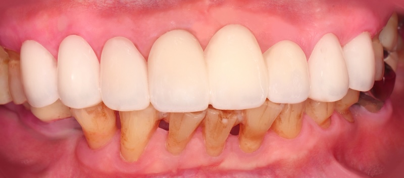
以上顎全鋯冠牙橋與全瓷貼片完成牙齒美學修復

治療效果

上顎治療完成,下顎用相同流程治療。成功關閉牙縫並修正牙齒視覺排列,讓患者不用全口植牙(All-on-4)或長期矯正,獲得美觀且穩定的治療結果。

 

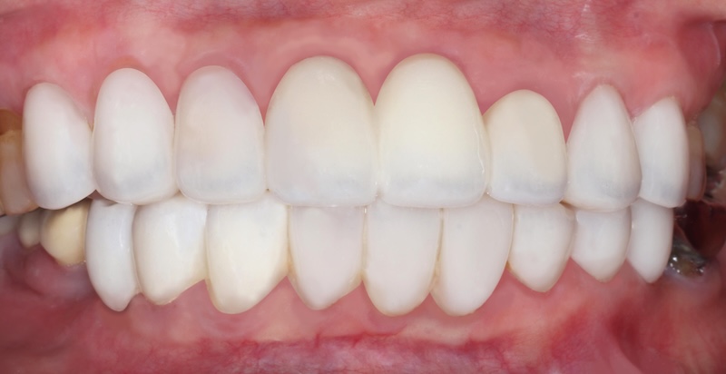
嚴重牙周病完成牙齒美學重建後的咬合狀態,上下顎齒列整齊並恢復穩定咬合

備註:官網所示案例僅用於衛教說明,療程效果因個人狀況有所差異,請諮詢專業醫師為您制定合適的療程。